Society & Culture
-
Jenoon Alraid…New track
Sudan Events – Magda Hassan A new artistic collaboration brings together poet Rania Omar and composer Dr. Anas Al…
Read More » -
Singers Contribute in IDPs Psychological Rehabilitation, Interview
Sudan Events – Magda Hassan -The creative person fights with his word, melody, and tongue – We do not…
Read More » -
Mundari Tribe: Special Relationship with Cows
Sudan Events The Mundari tribe is a small ethnic group from the Republic of South Sudan, numbering between 70,000…
Read More » -
The Light We Carry: Overcoming in Uncertain Times
Sudan Events Former First Lady Michelle Obama shares practical wisdom and powerful strategies for staying hopeful and balanced in…
Read More » -
Leaning Tower’ in Italy on ‘High Alert’ for Collapse
Agencies – Sudan Events It’s the ‘leaning tower’ that has stood tipsily – but steadily – for nearly 1,000 years.…
Read More » -
Texts in the Memory of Sudanese Theatre
Al Sir Al- Sayed There are many texts that color the memory of Sudanese theater throughout its long history. Some…
Read More » -
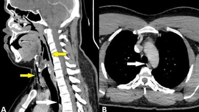
Man Tears his Windpipe After Holding in a Sneeze in a Rare World First
Agencies – Sudan Events A man has managed to tear a hole in his windpipe when attempting to hold in…
Read More » -
(Metain Nashof Khartoum) New Song
Sudan Events – Magda Hassan The duo, Adel Jaafar and the artist Hanaa Abdel Rahim, released the song (…
Read More » -
Omar Fadlallah, A Sudanese Writer
Agencies – Sudan Events Omer Ahmed Fadlallah (born 1956) is a Sudanese writer, poet, and an expert in e-government systems…
Read More » -
Aboderin-Talabi, others win African literary awards
Agencies/Sudan Events Akada Children’s Book Festival founded by a children’s book author, Olubunmi Aboderin-Talabi, has emerged in the 2023 Brittle…
Read More »